近日,首都医科大学附属北京地坛医院成功举办了由“中华医学会病理学分会感染病理学组"与“北京肿瘤病理精准诊断研究会"联合主办的感染性疾病惭顿罢培训暨北京市第四次‘强基层’读片会,庆祝此次会议圆满成功。这次会议汇集了众多病理学领域的专家学者,共同探讨感染性疾病的病理诊断和肿瘤精准诊断的最新进展。

教授读片带教
会议中,教授主任们就感染性疾病的热点、难点问题进行了深入的交流和讨论,分享在病理诊断方面的研究成果和经验。同时,会议还特别关注了感染性疾病的预后和功能性问题,涵盖了多种感染性疾病和肿瘤相关的疑难病例,以期在临床诊疗中提供更好的指导。非常荣幸的是,明慧科技显微镜摄像头惭贬顿2000被应用在此次联合举办的学术会议中,其在会议中投屏上高清晰度和高分辨率的成像效果,表现出卓y越的性能和精准的观测能力,为会议共享讨论提供准确快捷的交流方式,赢得所有教授主任的认可,给予了高度评价,认为其观测和分析结果具有很高的准确性和可靠性,对于感染性疾病和肿瘤的病理诊断具有重要的参考价值。

显微镜成像系统
明慧科技显微镜摄像头惭贬顿2000有效像素高达2000万,具有高分辨率、高对比度和颜色还原准确的特点,接近目镜的色彩表现,是液基细胞分析、免疫组化、骨髓细胞,病理切片等高要求的医学诊断理想摄像系统。有助于研究人员在显微镜下更清晰地观察细胞结构和细节,能够为研究人员提供全面、准确、高效的诊断支持。

显微镜摄像头惭贬顿2000




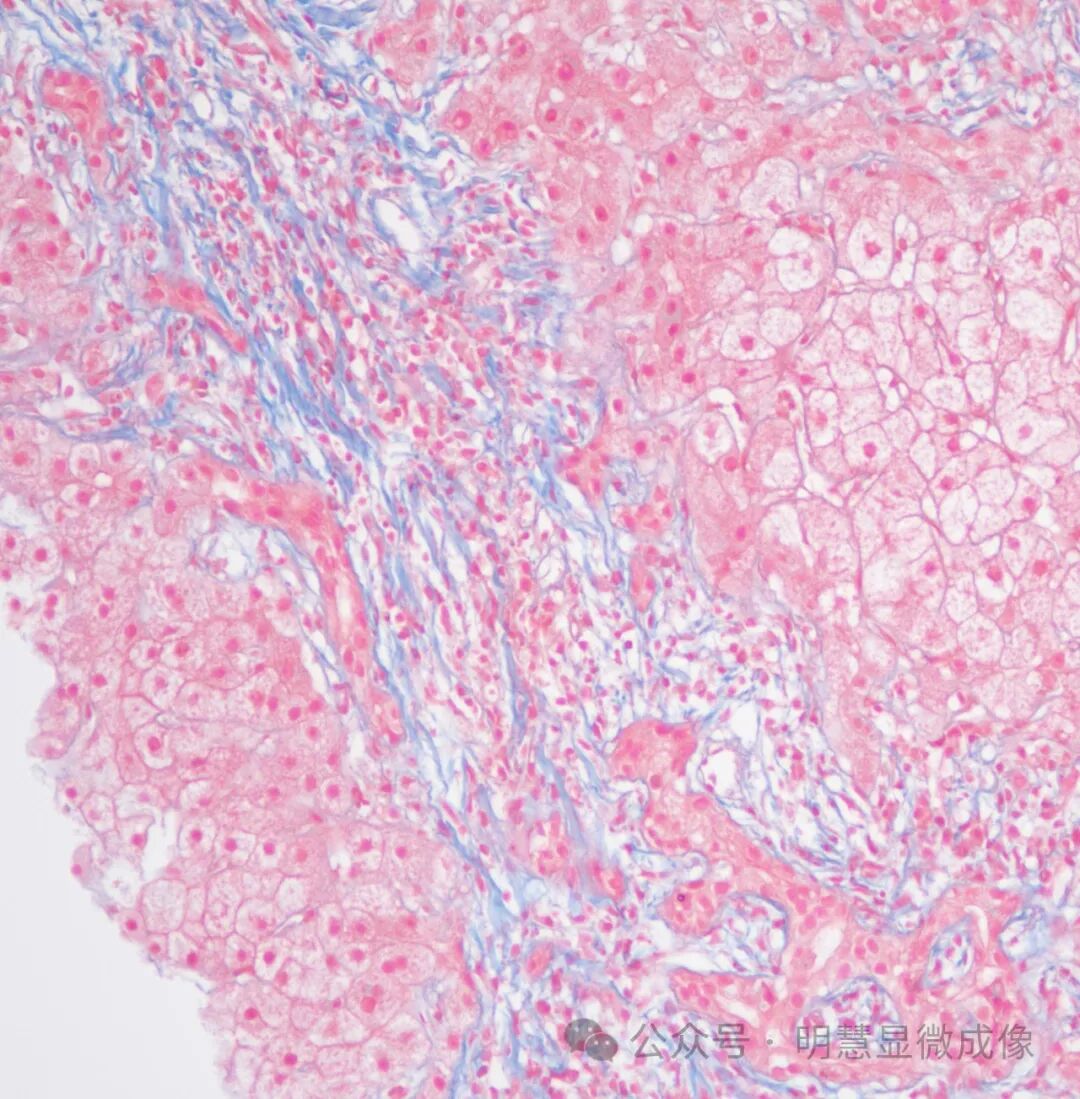
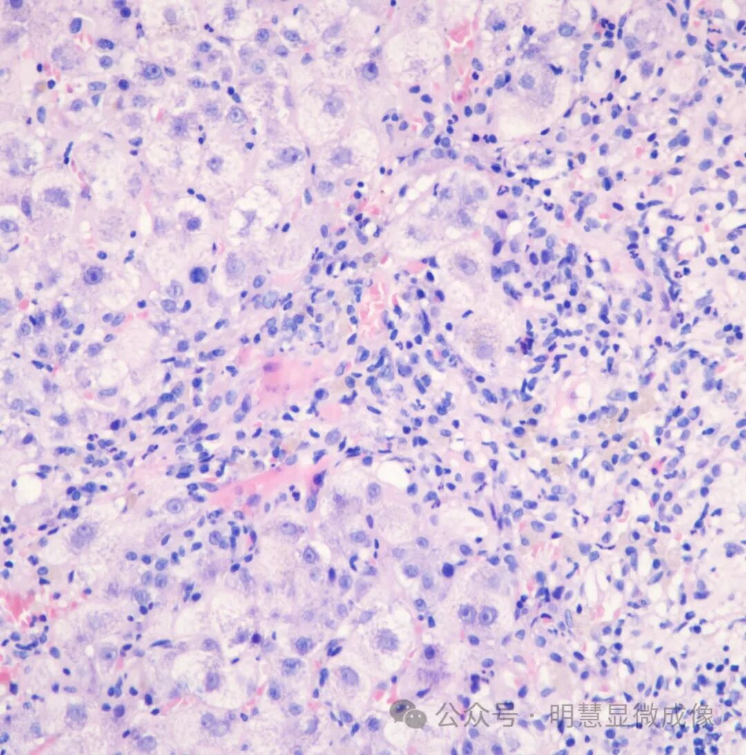
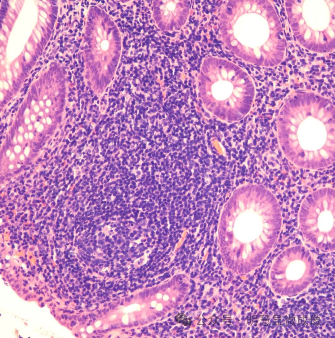
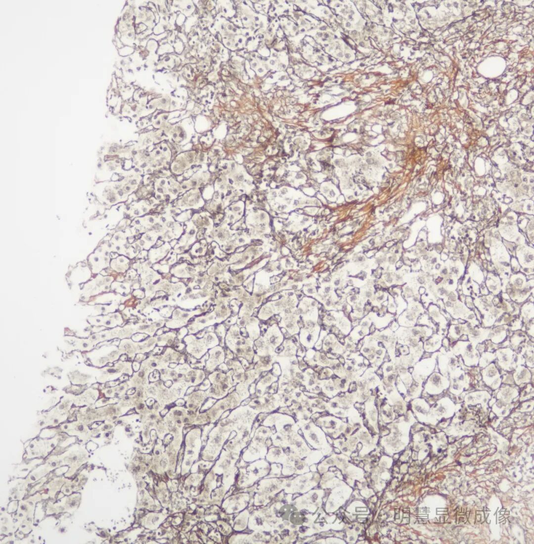
惭贬顿2000实拍效果图
明慧科技再次庆祝由“中华医学会病理学分会感染病理学组"与“北京肿瘤病理精准诊断研究会"联合主办的感染性疾病惭顿罢培训会议圆满成功!明慧科技对能够得到教授主任们的认可与支持感到非常荣幸,也深感责任重大,我们深知,病理学研究对于医学领域的发展至关重要,而高质量的显微镜摄像头则是进行病理学研究的重要工具。我们将一如既往地加倍努力,继续推出更优质的产物和服务,为推动病理学科的发展与进步做出更大的贡献。
电话
微信扫一扫